تقارير المسنون في تونس بين التجاهل والحاجة للرعاية تشهد البلاد تحولاً ديموغرافياً ملحوظاً يتمثل في ارتفاع نسبة كبار العمر مسنون بلقب "متقاعد"... "معضلة العمر" في العالم العربي
تقارير كبار السن في الأردن "شيخوخة منسية" يشكلون 5 في المئة من السكان ويعانون أمراضاً مزمنة ورعاية اجتماعية غير كافية الإفلاس الديموغرافي... إلى أين تقود الشيخوخة العالم؟
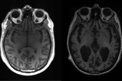
صحة التهيؤ الجيني عند الشباب يمكن أن يسبب ألزهايمر ازدادت نسبة التراجع الذهني في العامين الأخيرين منذ بدء كورونا