عقاقير سبق تسويقها باعتبارها إنجازاً في مكافحة المرض لا تقدم فائدة ملموسة للحالات
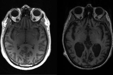
ألزهايمر
ألزهايمر
دراسة كبيرة تؤكد "إمكان تجنب نحو نصف الحالات من خلال التنبه إلى عوامل الخطر"
صعوبات كبرى في التعاطي مع المصابين لغياب ثقافة الدعم وانعدام العلاج الجذري