أكثر من 7 ملايين أميركي يتعايشون مع هذا الاضطراب العصبي التنكسي
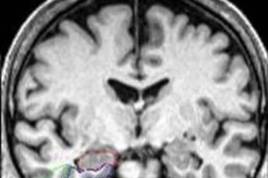
ألزهايمر
ألزهايمر
أفرادها يصابون به قبل الأوان وعلماء عثروا لديها على متحور جيني نادر قد يؤخر ظهوره خمسة أعوام
البالغون الذين تتخطى أعمارهم 60 سنة ممن لا يمارسون أي نشاط لفترات طويلة معرضون بشكل أكبر لخطر الإصابة بهذا المرض